|当前位置:首页 > 其他皮肤病

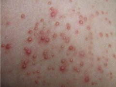
别名:痤疮

发病部位:皮损好发于面部及上胸背部

传染性:无传染性

就诊科室:皮肤科

多发人群:青少年

相关症状:白头、黑头粉刺、炎性丘疹...[详细]

相关检查:皮肤与组织寄生虫的病原检查...[详细]

灰指甲要治疗吗

灰指甲是一种常见的疾病,它是指到了中老年人手足甲发生的一种变化。患者的指甲会由原本的浑圆变得扁平瘪陷,有时候还会有颜色变...... 【详细】

脂溢性皮炎治得好吗

脂溢性皮炎是一种较常见的皮肤问题,主要表现为头皮、脸部、鼻翼等部位的皮肤出现红肿、瘙痒、脱屑等症状。那么,脂溢性皮炎能治...... 【详细】

|学术研究精益求精 广受社会各界好评

佛山广肤公益会诊

皮肤病诊疗新规范广肤专家讨论会

广肤公益会诊

建设皮肤专家联盟,助力全民皮肤健康...